column
医療コラム
column医療コラム

先週は診療後に手術しに行ってきました。
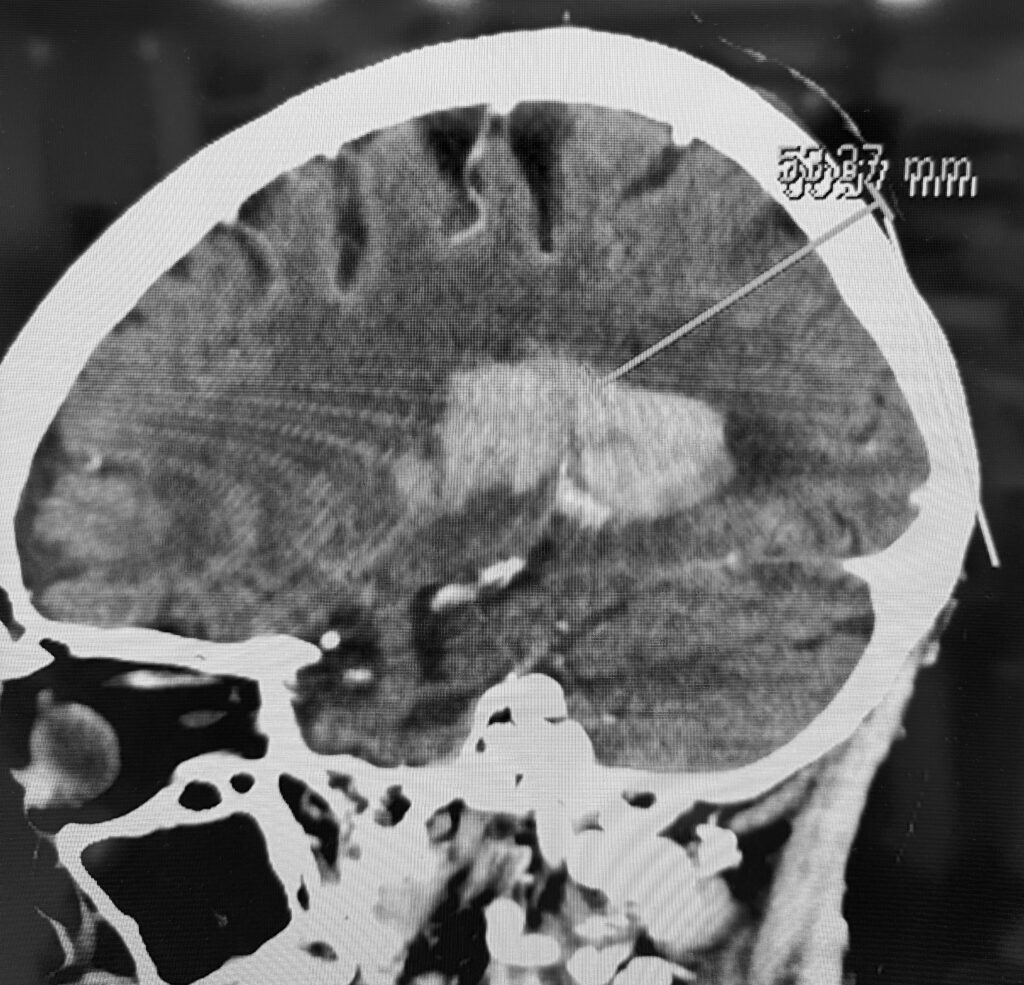
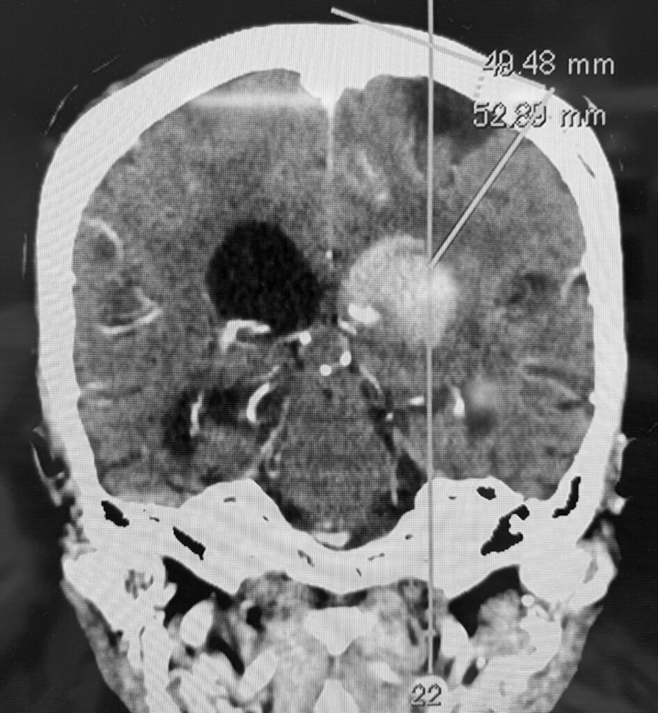
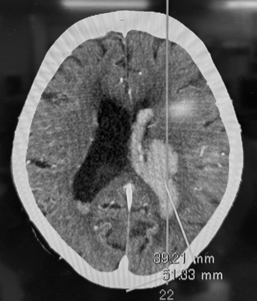
視床出血、脳室穿破の症例で、患者さんはご高齢なので内視鏡で低侵襲に血腫除去したいという要望でした。ご要望にお応えし、局所麻酔で3センチ切開し、1センチの穴を開けて血腫除去してきました。無事に血腫は取れたので今頃はリハビリテーションに励んでいることでしょう。
視床出血の手術に関しては、開頭ではかなり深くて侵襲が大きくなるのと、内視鏡では技術的に難しくなるため、エビデンスでは保存的加療(何もしないということ)となっています。しかし、余計な物(血腫)はあるよりない方が良いに決まっています。
私は上記の写真のように個別にアプローチを決定し、透明シースを挿入し、内視鏡下に血腫除去する方法で良好な結果を得ています。ただし、エビデンスとなるとある程度の症例数を複数施設でまとめて、評価ポイントも決めて、別の治療方法との差を出して決まるので難しいです。
別の視点で考えれば、圧迫病変に関してエビデンスがない疾患は昔からの手術適応のものです。硬膜下血腫が圧迫している、脳腫瘍が圧迫している、脊髄が圧迫されているなど、減圧しないと治らないから減圧しましょう。というエビデンスも不要な適応症例もあります。
私の時代はそんなことより技術的な話が学会で話されていて「こんな手術もできます」という自慢話的な話で終始して、欧米のようなエビデンスや商業的な話は全くなく20年を過ごしてしまいました。今は指導医的な立場なので、若い先生達がなんとかエビデンスを出してくれればと思います。
その技術的な部分で言えば、開頭顕微鏡手術や内視鏡手術は難しいので、術者を育てるのも難しいし、広めるのも難しいし、道具が売れないので業界も儲からないし、発展の妨げばかりです。これからは、血腫にアプローチしたら自動的に血腫が吸えるようなシステムが理想かと思います。


ひとまずオーソドックスな職人技で上記写真のように血腫除去して帰ってきました。